Most of the time, fractures due to orthopedic trauma are the cause for people to initially visit an emergency room. Falls from a great height, road traffic accidents, injuries in sports activities, accidents in the workplace, even just tripping on the floor at home, bring about bone fractures that demand expert attention right away. Prompt treatment from the best orthopedic in Bangalore enables a particular value during the healing process and mobility restoration, preventing problems that might appear years later.
Dr. Akshay Shetty is actively involved in fracture care and trauma management for the patient, which includes diagnosis, treatment with the best options, and a well-structured rehabilitation program for future health.
Understanding Fractures and Orthopedic Trauma
The term, “fracture” means a break in bone, most commonly the break is in the cortical bone and the break may be partial or complete. A traumatic event or excessive stress or force mostly causes it. The damage, in addition to the bone, may also extend to the joints, ligaments, muscles, or other soft tissues in the area. Such injuries need very careful evaluation and a properly implemented treatment plan so as to avoid the development of complications such as deformity, stiffness, or delayed healing.

Common types of Fractures include:
- Simple (closed) fractures
- Open (compound) fractures
- Stress or hairline fractures
- Comminuted fractures
- Joint-related fractures
Each of these fractures demands a special kind of orthopedic treatment tactic according to: Severity of fracture – location, age, and activity level
Importance of Early Orthopedic Care
Most benefit from the best orthopedic in Bangalore:
- Immediate pain relief and stabilization of injuries
- Accurate fracture classification
- Further damage to tissue is prevented
- Timely Planning of Definitive Treatment
Prompt orthopedic care improves healing outcomes by reducing the risk of lifelong disability.
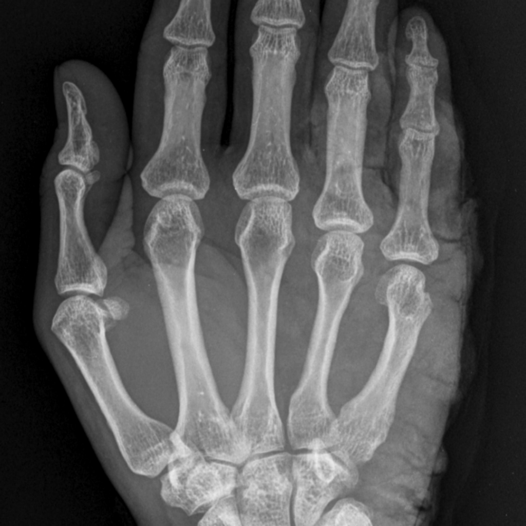
Perfect Diagnosis with New Imaging Technology
The entire management of fractures starts from their precise diagnosis. A thorough clinical examination is facilitated through digital X-ray imaging of fracture patterns, alignment, and joint involvement; where complex trauma cases may require advanced imaging to guide precise treatment.
Digital X-ray helps rule in early assessments and makes the choice between conservative and surgical management.

Non-Surgical Care for Fractures
Many fractures do not need surgical intervention if they are stable or can be realigned adequately. Non-surgical fracture treatment usually involves a combination of:
- Plaster casting and splinting
- Orthopedic braces and supports
- Controlled immobilization
- Pain management and monitoring as indicated
Allowing natural bone healing while keeping it aligned and functional: Regular follow-ups would assure steady improvement by this modality.
Control of Complex Fractures by Surgery
Those fractures needing surgery include displaced fractures, joint fractures, and open injuries. The purpose of surgical treatment of fractures is restoration of alignment of bones, stabilization, and early movement of the fracture.
Having a well-informed mind like Dr. Akshay Shetty will certainly ensure all surgical decisions are exercised carefully with the intention of achieving optimum healing with fewer complications for the benefit of long-term joint function.
Physiotherapy and Rehabilitation Following Fracture
Fractures can be repaired with the help of physiotherapy. Most of the time, after immobilization or an operation, patients feel stiff, weak in the muscles, and are restricted in mobility. Structured physiotherapy helps:
- Recovering joint motion
- Weight-bearing muscles strengthening
- Improving balance and coordination
- Managing pain and swelling
Best orthopedic in Bangalore to focus on early and guided rehabilitation. Safe and complete functional recovery is ensured.
Accident and Sports Injury Fracture Care
Complex fracture patterns are often seen in the majority of cases resulting from sport injuries and traffic accidents, which usually need an expert to be directly involved in the management of orthopedic traumas. The total management consists of stabilization of injury with accurate diagnosis followed by personal rehabilitation of the patients.
Recovery programs focusing on athletes and active people interested in getting back on their feet safely while reducing the chance of re-injury are of great assistance.
Averting Long-Term Complications
Complications in bearing caused by improper care of fracture include malunion, stiffness in joints, chronic pain, or decreased mobility. Orthopedic experts address:
- Alignment of fractures
- Timely Rehabilitation
- Regular Follow-up Assessments
- Patient Education on Modification of Activities
This is all important for comprehensive, lifelong recovery.
Why Choose Dr. Akshay Shetty for Fracture Care
Fracture management involves much more than just handing the injured bones, it is about restoring mobility and quality of life. Dr. Akshay Shetty offers patient-focused orthopedic care that is closely aligned with accurate diagnostics, advanced treatment modalities, and well-structured physiotherapy.
As a matter of fact, he is recognized as one of the top orthopedic surgeons in Bangalore. In addition, Dr. Akshay Shetty’s comprehensive injury care is tailored to the total health condition and recovery goals of the patient.
Conclusion
In short, timely and competent management of fractures and cases of orthopedic trauma is mandatory for an optimal healing process and, more importantly, satisfactory long-term function. Does anything go wrong with this continuum of care, from accurate diagnosis and timely intervention to rehabilitation and follow-up in the recovery phase? Patients wanting to secure the best possible treatment of their fractures with minimum prospect of complications, thus returning home happily, can be wise to consult leading Bangalore orthopaedist Dr. Akshay Shetty.

Leave a Reply